【日本大学】小型犬の心奇形、320列CTで「見える化」に成功~診断精度を飛躍させる新手法を実証~

【概 要】
日本大学生物資源科学部獣医学科6年の竹田瑞基さん、同合屋征二郎専任講師、日本大学付属動物病院の塩澤直子獣医師、石川智恵子獣医師の共同研究グループは、心奇形を持つ小型犬に対し、320列エリアディテクタCTと呼ばれる広範囲を一度に撮影できるCT装置を使い、造影剤を流しながら連続的に撮影することで、コントラストが強調されたCT画像を確実に取得できることを実証しました。これまで詳細な評価が難しかった小型犬の心奇形に対し、精度の高い診断や安全な治療が期待されています。本研究は日本大学特別研究の助成を受けて行われ、研究成果は国際学術誌「Journal of Veterinary Cardiology」に掲載されました。


研究内容
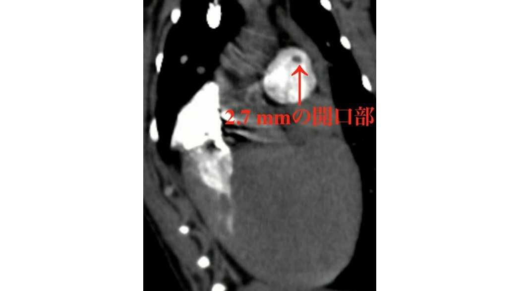
 動脈管開存症は、小型犬でよく認められる心奇形の1つで、全身に血液を送る大動脈と肺に血液を送る肺動脈をつなぐ動脈管が生後も開いたままになってしまう心疾患です。動脈管が肺動脈と連結している部分の穴(開口部)の大きさは、重症度や治療方針を判断する上で重要ですが、既存のCT検査では、この大きさを正確に評価できない場合がありました。その理由として、犬では人と比べて心拍数が高いこと、開口部が小さいこと、造影剤が体を流れる速さの個体差が大きいことなどが挙げられます。
 そこで我々は、この問題を解決するためにContinuous HIgh-Enhanced COntrast (CHIECO)法と名付けた特殊な心電同期CT造影検査法を開発し、直径2.7 mmの僅かな開口部を明瞭に描出することに成功しました。またそれだけでなく、非侵襲的に3次元的な血液の流れを可視化することも可能となりました。
 この手法は、まだ改良の余地はあるものの、これまで明瞭に撮影できなかった小型犬や猫などの先天性心疾患をより正確に評価可能にすることが期待されます。



掲載論文タイトル:The utility of continuous high-enhanced contrast electrocardiography-gated cardiac computed tomography method evaluating accurate minimal ductal diameter and ductus arteriosus morphology in a dog with patent ductus arteriosus

掲載紙:Journal of Veterinary Cardiology (掲載日:2026年2月9日)
(URL:https://doi.org/10.1016/j.jvc.2026.02.001)
※論文の閲覧には、費用が掛かる可能性があります。

獣医学科オリジナルサイト:https://hp.brs.nihon-u.ac.jp/~NUBSvmd/news/377/

【用語説明】
・日本大学特別研究
日本大学が国際水準の研究会堂を展開するため、独創的、先駆的な研究成果が期待される研究課題に対し、重点的に支援を行う大型研究プロジェクト。

▼本件に関する問い合わせ先
日本大学生物資源科学部
獣医学科 専任講師 合屋 征二郎(ごうや せいじろう)
住所:〒252-0880 神奈川県藤沢市亀井野1866
TEL:0466-84-3693
メール:gouya.seijirou@nihon-u.ac.jp

【リリース発信元】 大学プレスセンター https://www.u-presscenter.jp/

この企業の関連リリース

この企業の情報

組織名
日本大学
ホームページ
https://www.nihon-u.ac.jp/
代表者
大貫 進一郎
資本金
0 万円
上場
非上場
所在地
〒102-8275 東京都千代田区九段南4丁目8-24
連絡先
03-5275-9284

検索

人気の記事

カテゴリ

アクセスランキング

  • 週間
  • 月間
  • 機能と特徴
  • Twitter
  • デジタルPR研究所