埼玉医科大学脳神経内科の大田一路らによる研究グループが新たな高齢者脳テンプレートを開発 ― 加齢に伴う脳形態の変化をより正確に反映



埼玉医科大学(埼玉県入間郡毛呂山町)脳神経内科の大田一路らによる研究グループはこのたび、高齢者向け標準脳テンプレートを新たに開発した。既存の脳テンプレートであるMNI152と比較して、60歳以降で整合性が向上しており、今後、高齢者の神経変性疾患および脳卒中研究を推進する新たな基盤となることが期待される。なおこの成果は、2025年9月18日に『NeuroImage』誌320号に掲載された。




■ポイント
・大田一路医員らが高齢者向け標準脳テンプレートを新たに作成。
・MNI152 比べ、60歳以降で整合性が向上(相関係数〔CC〕上昇、平均二乗誤差〔MSE〕低下)。
・特に、拡大した側脳室の位置合わせが安定。
・皮質下の領域(尾状核・海馬・視床・扁桃体)で一致度(Dice係数)が1~4%向上。
・テンプレート本体、領域抽出用の二値画像、解析用プログラムをGitHub/Zenodoで無償公開。

■概要
 これまで広く使われてきた脳画像の標準脳テンプレート(MNI152)は、若年~中年のデータに基づいて作られています。そのため、高齢者の脳萎縮などの加齢による変化を十分に反映しておらず、神経変性疾患や脳卒中など、高齢者に多い疾患の研究で使用する際に、ズレが生じることが課題でした。
 そこで私たちは、2020年国勢調査の高齢者構成を取り入れ、前処理に機械学習AIを用いて高齢者向け標準脳テンプレートを新たに作成しました。90名の高齢者MRI画像(OASIS-1データ)を利用して高齢者向けテンプレートを作成し、別のデータベース(IXIを利用)より得た282名のMRI画像を用いて外部検証を行いました。
 その結果、60歳以上の方の脳画像で整合性が向上(相関係数〔CC〕上昇、平均二乗誤差〔MSE〕低下)し、側脳室周囲の位置合わせが安定しました。特に、脳の内部構造である尾状核・海馬・視床・扁桃体で一致度(Dice係数)が1~4%改善しました。これらのテンプレート・二値画像・解析用プログラムは無償公開しています。

■研究背景
 これまで広く使われてきた標準脳テンプレート(MNI152)は若年~中年の平均脳に基づいており、高齢者で目立つ側脳室の拡大や大脳皮質の萎縮を十分に反映していません。そのため、高齢者を対象とする神経変性疾患・脳卒中研究では脳画像の解析時に位置合わせの誤差や評価のばらつきが生じやすく、再現性の確保が課題でした。
本研究は、加齢に伴う形態変化を前提にした高齢者向け標準脳テンプレートを作成し、外部データで有用性を検証することで、この課題の解決を目指しました。

■研究内容
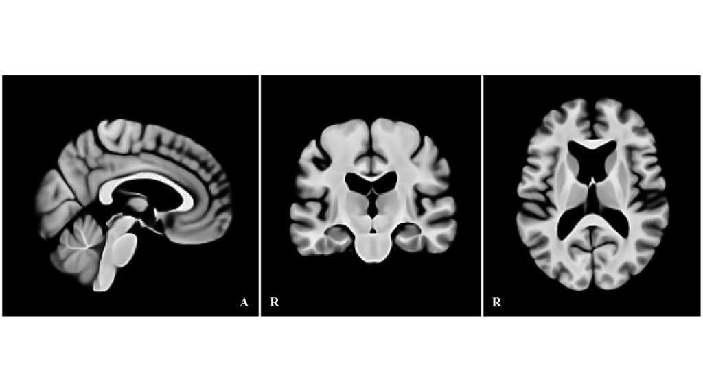
 本研究では、加齢に伴う形態変化――特に拡大した側脳室や皮質の萎縮――を前提に、高齢者の脳画像を適切に基準化できる高齢者向け標準脳テンプレートを作成しました。2020年国勢調査に基づく日本の高齢者の男女比と年齢分布を考慮し、標準脳の構成が実情を反映するよう設計しています。作成データとしてOASIS-1の高齢者90例、検証データにはIXIの282例を用い、従来広く用いられているMNI152と比較しました。

 前処理ではバイアス補正(N4)、強度正規化、頭蓋外除去を行って、各画像データの条件を統一しました。整合(登録)は段階的に実施し、まず剛体変換(6自由度)とアフィン変換(12自由度)で大域的な位置・形の差を補正したのち、ANTs(SyN) による非線形変換で微細整合を行いました。CC・MSE・SSIMの収束を確認しつつテンプレートを構築し、最終解像度は1mm等方としました。

 検証では、IXIの各画像データを上記の手順で作成した高齢者向けテンプレートとMNI152の双方に同条件で登録し、全脳の整合(CC/MSE)と皮質下の領域(尾状核・海馬・視床・扁桃体)の一致度(Dice係数)を評価しました。その結果、60歳以降で整合が明確に向上し、CCは上昇、MSEは低下しました。特に、拡大した側脳室の位置合わせが安定し、加齢に伴う形態をより正しく反映できることが示されました。さらに、皮質下の各領域ではDice係数が1~4%向上し、局所の位置合わせ精度も改善しました。

 作成したテンプレート本体、領域抽出用の二値画像(組織別・皮質下領域)および再解析用のプログラムはGitHub/Zenodoに無償公開しており、導入の簡易手順も添えています。これにより、神経変性疾患(認知症、パーキンソン病など)の病変の位置合わせや経過評価、脳卒中の集団解析など、高齢者の脳画像研究における標準座標の基盤として広くご活用いただけます。

■今後の展望
・神経変性疾患(認知症、パーキンソン病)や脳卒中に適用し、病変の位置合わせや体積・経時変化を指標に、予後・重症度との関連を検証します。
・国内外の多施設・多民族データで再現性と一般化可能性を確認し、日本人以外への適用範囲を明確にします。
・皮質下および白質路アトラスとの座標整合を進め、病変マッピングや領域別解析を一層容易にします。

 なおこの成果は、2025年9月18日付で『NeuroImage』誌320号に掲載されました。

■論文の情報
・論文名: Developing and Validating an Elderly Brain Template: A Comprehensive Comparison with MNI152 for Age-Specific Neuroimaging Analyses
・雑誌名: NeuroImage
・著 者: Kazumichi Ota, Yoshihiko Nakazato, Genko Oyama
 (Authors: Kazumichi Ota, Yoshihiko Nakazato, Genko Oyama)
・URL: https://doi.org/10.1016/j.neuroimage.2025.121473

■脳テンプレートのデータ
・GitHub: https://github.com/KazumichiOta/elderly-brain-template
・Dataset(最新版): https://doi.org/10.5281/zenodo.16249928

■用語の説明
・IXI: 英国(ロンドン)の一般成人の脳MRI公開データ。
・OASIS-1: 米国(ワシントン大学セントルイス)の脳MRI公開データ。
・MNI152: カナダ(モントリオール神経研究所)で作成された標準脳テンプレート。
・Dice係数: 領域の重なり度合い(0~1)。大きいほど一致が高い。
・CC(相関係数): 画像どうしの似ている度合い(−1~1)。高いほど良い。
・MSE(平均二乗誤差): 画像どうしの違いの大きさ。小さいほど良い。
・SSIM(構造類似度): 画像の模様やコントラストの似かた(0~1)。1に近いほど良い。
・ANTs(Advanced Normalization Tools): 脳画像の位置合わせやテンプレート作成に用いるソフトウェア。
・N4バイアス補正(ANTs): MRIの明るさのむらを補正する前処理。
・剛体変換: 平行移動と回転だけで位置を合わせる方法(形や大きさは変えない)。
・アフィン変換: 拡大・縮小やせん断まで含めて大きく位置合わせする方法。
・非線形変換: 場所ごとに少しずつ形を曲げて細かく合わせる方法。
・SyN(ANTsの手法): 非線形変換の一種。滑らかに全体を変形させて精密に位置合わせする方法。

※取材の際には、事前に下記までご一報くださいますようお願い申し上げます。

▼研究に関する問い合わせ先
・埼玉医科大学 脳神経内科 医員
 大田 一路 (おおた かずみち)
 TEL: 049-276-1208
 E-mail: kota24@saitama-med.ac.jp
・埼玉医科大学 脳神経内科 教授
 大山 彦光 (おおやま げんこう)
 TEL: 049-276-1208
 E-mail: g_oyama@saitama-med.ac.jp


▼本件に関する問い合わせ先
埼玉医科大学 広報室
蒔田喜彦
住所:埼玉県入間郡毛呂山町毛呂本郷38
TEL:049-276-2125
FAX:049-276-2086
メール:koho@saitama-med.ac.jp


【リリース発信元】 大学プレスセンター https://www.u-presscenter.jp/

この企業の関連リリース

この企業の情報

組織名
埼玉医科大学
ホームページ
https://www.saitama-med.ac.jp/
代表者
竹内 勤
資本金
0 万円
上場
非上場
所在地
〒350-0495 埼玉県入間郡毛呂山町大字毛呂本郷38
連絡先
049-276-1111

検索

人気の記事

カテゴリ

アクセスランキング

  • 週間
  • 月間
  • 機能と特徴
  • Twitter
  • デジタルPR研究所